Cela vous concerne-t-il ?
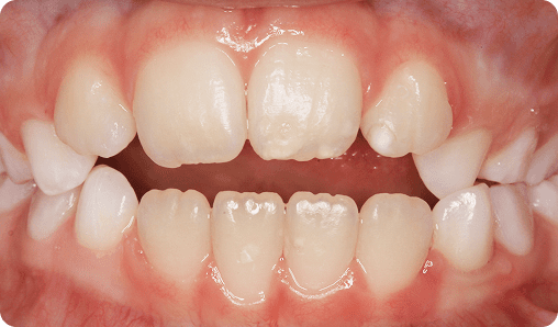
Dents en avant
Le décalage des incisives supérieures vers l’avant peut affecter l’esthétique du sourire, la mastication et la phonation. Souvent lié à des facteurs fonctionnels (succion du pouce, respiration buccale) ou squelettiques, il peut apparaître dès l’enfance.


Infraclusion
L’infraclusion correspond à une absence de contact entre certaines dents lors de la fermeture de la bouche, laissant un espace entre les arcades. Elle touche le plus souvent les dents antérieures. Ce type de malocclusion peut gêner la mastication, affecter l’esthétique du sourire et entraîner des troubles fonctionnels.
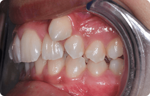
Supraclusion
La supraclusion désigne un recouvrement excessif des dents inférieures par les dents supérieures. Si elle n’est pas traitée, elle peut provoquer une usure prématurée des dents, des douleurs articulaires et des problèmes esthétiques.


Menton en avant
Un menton en avant résulte d’un développement excessif de la mâchoire inférieure par rapport à la mâchoire supérieure. Ce décalage squelettique peut être d’origine génétique et se manifeste souvent par un visage allongé ou asymétrique. Il peut perturber l’occlusion, l’élocution et même la respiration.
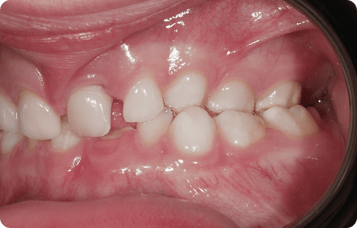
Articulé croisé
L’articulé croisé est une malocclusion dans laquelle certaines dents de la mâchoire supérieure s’engrènent à l’intérieur des dents inférieures au lieu de les recouvrir. Ce désalignement peut être antérieur, postérieur, unilatéral ou bilatéral. Il peut entraîner une asymétrie faciale, une usure dentaire anormale ou des troubles articulaires.
Plus il est pris en charge tôt, plus le traitement est simple et efficace.


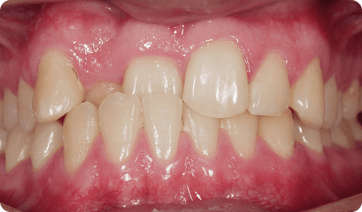
Encombrement dentaire
L’encombrement dentaire survient lorsque les dents ne disposent pas de suffisamment d’espace pour s’aligner correctement sur l’arcade. Il peut résulter d’un manque de place, de dents trop grandes ou d’une mâchoire étroite. Cette situation nuit à l’esthétique du sourire, complique le brossage et augmente le risque de caries et de maladies des gencives.
Diastème dentaire
Le diastème désigne un espace entre deux dents, le plus souvent entre les incisives supérieures. Il peut être d’origine génétique, lié à un frein labial trop bas, à une déglutition atypique ou à une agénésie. Si certains diastèmes sont simplement esthétiques,
d’autres nécessitent une prise en charge orthodontique, parfois associée
à un traitement du frein ou à une prothèse dentaire.


Agénésie dentaire
L’agénésie correspond à l’absence congénitale d’une ou plusieurs dents permanentes. C’est une anomalie relativement fréquente qui peut toucher toutes les dents, avec une prédominance pour les incisives latérales supérieures ou les prémolaires.
L’agénésie peut engendrer des déséquilibres occlusaux, des migrations dentaires
ou un manque d’esthétique.