Infraclusion
Une malocclusion qui empêche
la fermeture de la bouche
L’infraclusion ou béance (“open bite”) est une malocclusion où certaines dents ne se touchent pas, empêchant la fermeture correcte de la bouche. Ce problème peut être d’origine squelettique ou lié à de mauvaises habitudes infantiles. Lorsqu’elle apparaît, il est essentiel d’agir rapidement avec une prise en charge orthodontique adaptée.
Elle peut provoquer des difficultés de mastication, une déglutition incorrecte et des problèmes de prononciation. Chez certains patients, elle peut aussi entraîner des tensions musculaires et des troubles posturaux.
L’un des signes les plus visibles est l’impossibilité de fermer complètement les lèvres, ce qui peut altérer l’équilibre du visage et du sourire.

Comment corrigeons-nous l’infraclusion ?
Chez l’enfant
Nous privilégions l’orthodontie interceptive, qui permet de guider la croissance des mâchoires et de corriger les mauvaises habitudes. Lorsque le problème est pris en charge à temps, un simple traitement orthodontique peut suffire.
Plus l’intervention est précoce, plus elle est efficace.
Chez l’adulte
La prise en charge dépend de la gravité du cas. Nous proposons des appareils fixes ou transparents, ainsi que des aligneurs invisibles pour un traitement plus discret.
Dans certaines situations complexes, une chirurgie orthognatique peut être nécessaire pour repositionner les mâchoires et assurer une occlusion correcte.
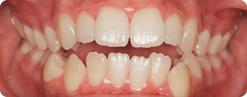
Nos résultats
Traitement d’infraclusion
Durée 12 mois
Thérapie interceptive avec RPE et grille anti-langue
Avant
Après
Vos questions
Quelles sont les causes d’une infraclusion ?
Elle peut être d’origine génétique, due à des anomalies de croissance des mâchoires ou à des habitudes comme la succion du pouce. Elle peut aussi apparaître suite à une agénésie ou une dent incluse.
Est-ce qu’une infraclusion non traitée s’aggrave avec le temps ?
Dans certains cas, oui. Elle peut engendrer des compensations musculaires, des troubles articulaires ou une usure anormale des dents, d’où l’importance d’un dépistage dès l’enfance.
Le traitement est-il pris en charge en Suisse ?
Sauf cas très sévère pris en charge par l’assurance invalidité (AI), le traitement orthodontique est à la charge du patient. Un devis précis est établi à l’issue du bilan initial.