Encombrement dentaire
Un alignement perturbé
par manque d’espace
L’encombrement dentaire est une problématique fréquente qui peut altérer l’esthétique du sourire et entraîner des complications fonctionnelles.

Qu'est-ce que
l'encombrement dentaire ?
L’encombrement dentaire désigne une condition dans laquelle les dents ne trouvent pas suffisamment d’espace dans la mâchoire pour se positionner correctement. Cela entraîne des dents mal alignées, souvent les dents antérieures supérieures et inférieures, donnant un aspect de sourire désorganisé ou « déformé ».
Lorsqu’un problème d’encombrement dentaire est constaté, il est conseillé de consulter un orthodontiste dès que possible. Plus l’intervention se fait tôt, plus les chances de succès du traitement sont grandes.
Quelles sont les causes et les conséquences de l'encombrement dentaire ?
Les causes
Les causes de l’encombrement dentaire sont diverses.
Parmi les principales, on retrouve :
- Prédisposition génétique, anomalies de taille ou de forme des dents
- Mauvaises habitudes buccales (succion du pouce ou de la sucette après l’âge de 3 ans)
- Perte prématurée des dents de lait
Les conséquences
Les conséquences de l’encombrement dentaire ne sont pas seulement esthétiques. En l’absence de traitement, ce problème peut entraîner des complications fonctionnelles graves, telles que :
- Carie, parodontose et gingivite
- Problèmes de mastication
- Usure prématurée de l'émail dentaire
Comment traitons-nous
l'encombrement dentaire ?
Nous abordons l’encombrement dentaire avec des solutions orthodontiques personnalisées.
Selon le cas, nous utilisons différentes méthodes pour rétablir un alignement correct des dents :
Orthodontie fixe (bagues)
Les bagues, ou appareils fixes, permettent de déplacer progressivement les dents pour corriger leur alignement. C’est une solution efficace et adaptée à de nombreux cas orthodontiques.
Orthodontie invisible
(gouttières transparentes)
Les gouttières transparentes corrigent discrètement l’alignement des dents. Réalisées sur-mesure à partir d’empreintes numériques 3D, elles sont confortables, amovibles et presque invisibles.
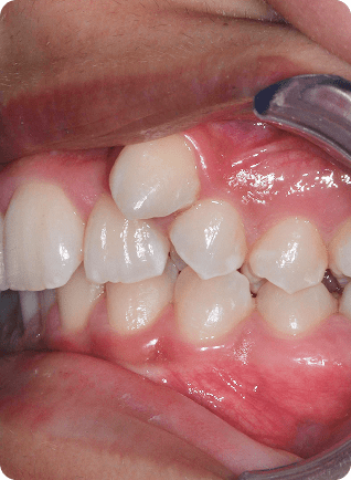
Nos résultats
Traitement d’encombrement dentaire
Garçon de 15 ans
Encombrement traité avec exo 14-24 associé à un stripping inférieur,
en 24 mois avec bagues
Avant
Après
Vos questions
Est-ce que les dents encombrées peuvent se redresser naturellement ?
Non. Une fois que les dents définitives sont en place, l’encombrement ne se corrige pas spontanément. Un traitement orthodontique est nécessaire.
Est-ce que l’encombrement peut s’aggraver avec le temps ?
Oui. Avec le vieillissement, les dents peuvent continuer à se déplacer, surtout au niveau des incisives inférieures, rendant l’encombrement plus visible.
Peut-on corriger un encombrement sans bagues visibles ?
Oui. Les aligneurs transparents sont très efficaces pour corriger l’encombrement, surtout s’il est modéré.
Est-ce que l’assurance suisse rembourse ce traitement ?
En Suisse, les traitements orthodontiques sont généralment à la charge du patient ou de ses parents si mineurs. Dans certains cas (en genre les plus sévères) l’assurance de base ou l’assurance invalidité peuvent rentrer en matière. Certaines assurances complémentaires peuvent rentrer en matière et rembourser le patient.
À partir de quel âge peut-on traiter un encombrement dentaire ?
Le traitement de l’encombrement dentaire peut commencer dès l’apparition des premières dents définitives, vers 6 à 8 ans. Une intervention précoce peut faciliter l’alignement des dents et prévenir des traitements plus complexes à l’adolescence ou à l’âge adulte.