Articulé croisé
Un mauvais alignement transversal entre la mâchoire supérieure et inférieure
L’articulé croisé ou “cross bite”, désigne une relation entre les dents supérieures et inférieures qui est erronée du point de vue transversal. Dans une occlusion physiologique, les dents de la mâchoire supérieure se trouvent légèrement à l’extérieure des dents de la mâchoire inférieure.
C’est un peu comme une boite avec son couvercle.
L’articulé croisé peut regarder une seule ou plusieurs dents et être de nature dentaire ou dans les cas plus sévères de nature squelettique. Plus cette situation est réglée tôt, plus les chances de réussite sont élevées.
L’articulé croisé est un trouble de l’occlusion, affectant non seulement l’esthétique du sourire mais aussi la fonction de mastication et l’articulation temporo-mandibulaire. C’est une pathologie qui peut toucher aussi bien les adultes que les enfants et qui nécessite une intervention précoce pour éviter des complications à long terme.

Quelles sont les causes de l'articulé croisé ?
Les causes de l’articulé croisé sont variées et peuvent inclure :
- Prédisposition génétique
- Mauvaises habitudes (succion du pouce ou usage prolongé de la tétine)
- Mauvaise posture de la langue
- Retard dans le développement de la mâchoire supérieure
- La respiration buccale

Quelles sont les conséquences de l'articulé croisé ?
Un articulé croisé non traité peut avoir plusieurs conséquences
esthétiques et fonctionnelles :
- Problèmes de mastication
- Problèmes articulaires, douleurs et tensions musculaires
- Troubles respiratoires

Traitement de l'articulé croisé : notre approche
Nous commençons toujours par un examen clinique approfondi pour évaluer la situation.
Ce diagnostic permet de déterminer la gravité du problème et d’identifier la position des dents et des mâchoires.
Lors de l’examen, nous observons la relation centrique : une position où la mâchoire est détendue et la bouche fermée, afin de comprendre comment les dents se ferment et si des contacts prématurés existent.
Le traitement de l’articulé croisé repose principalement sur l’orthodontie.
Selon le cas, plusieurs options peuvent être envisagées, avec l’utilisation d’appareils mobiles ou fixes pour réaligner les dents et les mâchoires:
- Orthodontie invisible : Discrètes et efficaces, ces solutions sont particulièrement adaptées aux adolescents et adultes
- Expansion palatine forcée : Très efficace chez les enfants, elle permet d’élargir le maxillaire supérieur pour corriger l'articulé croisé
- Chirurgie orthognatique : Dans certains cas plus complexes, notamment chez les adultes, une intervention peut être nécessaire pour repositionner les mâchoires de manière permanente
Le timing est un facteur crucial. Plus tôt l’intervention a lieu, plus les chances de succès sont élevées. Chez les enfants, les os de la mâchoire sont plus malléables, ce qui permet de corriger les malocclusions plus facilement. De plus, un diagnostic précoce permet d’éviter des traitements invasifs à l’âge adulte.
Nos résultats
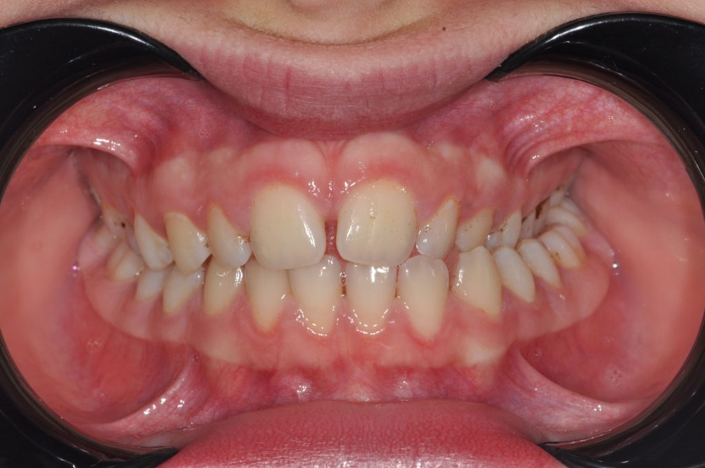
Traitement d’un articulé croisé
Fille de 13 ans
Thérapie avec RPE et bagues de 24 mois
Avant
Après
Vos questions
Est-ce qu’un articulé croisé peut affecter la croissance du visage ?
Oui. Un articulé croisé non traité peut entraîner une asymétrie faciale au fil du temps, surtout s’il est associé à un décalage fonctionnel de la mâchoire inférieure lors de la mastication.
Un articulé croisé peut-il provoquer des douleurs ?
Il peut engendrer des tensions musculaires, des troubles de l’articulation temporo-mandibulaire et des douleurs cervicales, en particulier chez l’adulte.
Est-ce que l’articulé croisé peut se corriger seul ?
Non. Sans traitement orthodontique, il persiste et peut même s’aggraver. Une prise en charge précoce augmente les chances de correction simple.
Quel type d’appareil est utilisé pour corriger un articulé croisé ?
Cela dépend du cas. Chez l’enfant, une expansion maxillaire peut suffire. Chez l’adulte, des aligneurs ou un appareil multi-attaches sont souvent nécessaires, parfois avec une chirurgie.
À partir de quel âge peut-on traiter un articulé croisé ?
Le traitement d’un articulé croisé peut débuter dès l’enfance, généralement vers 6 à 8 ans, au moment où les premières dents définitives apparaissent. Une prise en charge précoce permet de corriger plus facilement le problème et de guider la croissance osseuse.